Advertisement

lung cancer statistics from smoking 16 cancer facts

If you are looking for Statistics of Lung Cancer you've visit to the right page. We have 9 Pictures about Statistics of Lung Cancer like Statistics of Lung Cancer, Which is worse : Emphysema or Lung cancer? - Quora and also Bronchoscopy Procedure - See inside the lungs! - YouTube. Here you go:

Statistics Of Lung Cancer

Statistics of Lung Cancer cancercarepliss.blogspot.com

lung cancer statistics classification most

Copd And Smoking Articles - Copd Blog I

Copd And Smoking Articles - copd blog i copdblogi.blogspot.com

copd

What Is The Most Aggressive Form Of Lung Cancer? | Lung Cancer Lawsuit

What Is the Most Aggressive Form of Lung Cancer? | Lung Cancer Lawsuit www.pintas.com

cancer lung illustration showing medical bronchial carcinoma pintas aggressive form most chemo prolong patients does

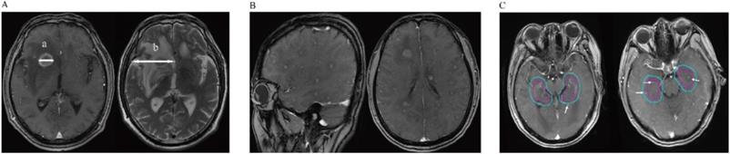
Radiographic Features Of Metastatic Brain Tumors From ALK-rearranged

Radiographic Features of Metastatic Brain Tumors from ALK-rearranged www.jcancer.org

alk modalities tumors rearranged metastatic radiographic implications

CPWR | Chart Book (6th Edition): Occupational Diseases - Respiratory

CPWR | Chart Book (6th edition): Occupational Diseases - Respiratory www.cpwr.com

respiratory diseases construction chart occupational 6th industry edition cpwr

Suffering From Lung Cancer 30 Sec - YouTube

Suffering from Lung Cancer 30 sec - YouTube www.youtube.com

cancer lung suffering

Bronchoscopy Procedure - See Inside The Lungs! - YouTube

Bronchoscopy Procedure - See inside the lungs! - YouTube www.youtube.com

lungs inside bronchoscopy procedure

Which Is Worse : Emphysema Or Lung Cancer? - Quora

Which is worse : Emphysema or Lung cancer? - Quora www.quora.com

emphysema lung cancer which worse smoking causes

16 Cancer Facts - Types, Causes, Diet, Prevention And More

16 Cancer Facts - Types, Causes, Diet, Prevention and More facts.net

cancer causes statistics facts factors diet poor body cancers lifestyle obesity

Respiratory diseases construction chart occupational 6th industry edition cpwr. Statistics of lung cancer. Cancer lung suffering


Post a Comment

0 Comments